
Honden – Sybe
Markes-Moby fan Tjebbe’s Hiem (Sybe): 12 augustus 2013 – 18 januari 2016. Geboren in Venhuizen in een nest van 9 pups en opgegroeid met Moeder Beike, Oma Jikke en 6 broertjes en 2 zusjes. Vader: Moby van de Eenhoornleijn.
2013, een paar weken na het overlijden van Mika, geven we ons op voor een pup bij de NVSW, een zwart/wit reutje. Op zaterdagavond 31 augustus worden we gebeld dat er een pup beschikbaar. We bellen gelijk de fokker. We kunnen de volgende dag al komen kijken. Dus op 1 sept. op naar Venhuizen, naar de fam. Boonstra. De pups zijn dan bijna 3 weken oud, hebben net de ogen open en beginnen wat rond te scharrelen. Het is nog niet bekend welke, van de 9 pups, voor ons is. De hondjes zijn moe, ze hebben net gedronken bij Beike, hun moeder en liggen op een slordige manier verspreid door de werpkist. O, wat zijn ze nog klein. Zelf worden we door de familie Boonstra hartelijk ontvangen met koffie/thee en beschuit met muisjes. We spreken af dat we twee weken later weer komen kijken. Dan is ook bekend welk hondje voor ons is. Witstaart, officieel heet hij “Markes-Moby fan Tjebbe’s Hiem” maar Markes vonden we geen leuke naam dus hebben we Sybe bedacht. Op 6 oktober kunnen we Sybe ophalen. We nemen Bouke ook mee zodat de eerste ontmoeting op neutraal terrein kan plaatsvinden. Na een laatste foto voor Tjebbe’s website onder de Friese vlag voor het huis gaan we op weg naar huis. De terugreis gaat goed, Sybe is heel vrij in de auto. ’s Nachts was het natuurlijk piepen maar met iemand op de bank die af en toe een hand in de bench stak was het gauw over. Thuis was Bouke ook niet aardig voor hem maar na de eerste keer schrikken was Sybe een volhoudertje die hem beetje bij beetje voor zich heeft ingenomen. Ze zijn uiteindelijk de beste maatjes geworden. Bouke leefde van Sybe op en Sybe had ondanks dat hij heel lomp met Bouke omging toch wel respect voor hem en nam het zelfs voor hem op als andere honden hem belaagden. Kom niet aan Bouke!!








Puppycursus: Nadat Sybe alle inentingen had gehad gingen we op puppycursus. We stroomden in, les 7 van de 11 en de eerste drie lessen vond hij er geen barst aan. De andere honden waren zo’n 2 maanden ouder dan hij en ook nog overwegend grote rassen. We trainden in een soort veredelde zandbak. De laatste twee lessen begon hij een beetje los te komen. Dus toch maar voor de vervolgcursus ingeschreven. Na twee lessen was ik er wel achter dat dit niets voor ons was, veel te veel discipline voor een Wetter en veel te lang wachten tussendoor, oersaai en niet mogen spelen. Maar Nederlanders als we zijn, we hebben er voor betaald dus we maken het af, zonder de illusie te zullen slagen. Je niet laten frustreren was het belangrijkste. We slaagden niet. Toen een andere hondenschool gezocht maar eerst wel even gaan kijken. Ik wilde toch wel wat met hem blijven doen, alleen al om de band te versterken. We hebben daar 2 cursussen gedaan met wisselend succes want Sybe was nogal terughoudend naar nieuwe dingen en dat koste extra tijd, zoals bv. bij behendigheid.




Karakter: Sybe is hij een lieve, aanhankelijke en gehoorzame hond geworden die niet van gemopper hield en daarom goed luisterde. Hij was terughoudend naar nieuwe dingen. Hij was een hele energieke hond die heel graag zwom en die graag achter stokken aan ging, die konden niet groot genoeg zijn. Sybe ontwikkelde zich tot een blije, onstuimige, enthousiaste en ook lompe hond die uit enthousiasme in een soort omarming met vier poten tegelijk tegen je op kon springen en dan moest je je wel schrap zetten. Waaks was hij ook. Als hij in de tuin was, blafte hij tegen iedereen die langs liep maar liep hij buiten het hek dan liet hij zich door dezelfde personen lekker aanhalen, op de voeten gaan zitten en tegen de benen aanleunen. Met Sybe heb ik gemerkt hoeveel Wetterhoun eigenschappen Mika had, die was veel meer Wetter dan ik ooit gedacht had. In zijn pubertijd was Sybe voor ons wel een makkelijke hond, hoewel hij zijn eigen speelgoed wel sloopte heeft hij weinig spullen van ons kapot gemaakt. Met andere, vooral wat zwakkere, honden had hij wel een paar akkefietjes waar wij niet zo blij mee waren en ontaarde een spelletje wel eens in ongecontroleerde kracht. Het beste kon hij overweg met wat dominantere honden, dan was het even een korte krachtmeting en daarna werd er volop gespeeld. We konden niet altijd op tijd ingrijpen en soms waren ook wel eens te vroeg met onze timing. Uiteindelijk is hij wel rustiger geworden en gebeurde er wat konden we hem meestal met een commando laten stoppen. Verder had Sybe zo zijn eigenaardigheden. Hij kon te pas en te onpas zomaar op zijn op zijn rug gaan rollen. Dat deed hij zelfs als hij met een andere hond aan het spelen was. Andere honden snapten daar niks van. Onderweg dronk hij uit de smerigste plassen maar thuis moest er altijd schoon water in de bak zitten anders dronk hij het niet.






















Vakantie: In 2014 ging hij voor het eerst mee op vakantie samen met de inmiddels 14 jaar oude Bouke. Sybe was bijna 1 jaar. Vier weken lang trekken door Engeland en Schotland met de camper. We hadden veel bekijks bij de Britten en kregen veel vragen. Voor Sybe was het heel goed, heel veel nieuwe indrukken en nieuwe situaties en hij wende er snel aan. Er zijn alleen heel wat lijnen gesneuveld, doorgebeten of kapot getrokken. Hij heeft veel geleerd die vakantie, het heeft hem echt goed gedaan. Hij werd veel evenwichtiger en minder terughoudend voor nieuwe situaties. In 2015 gedroeg hij zich voorbeeldig op de camping. We dachten dan ook dat we nog vele jaren lange vakanties met elkaar zouden hebben en overal naar toe zouden trekken, vooral naar landen waar het niet zo warm is, want van warmte hield hij niet. Wel van zwemmen, dat deed hij al vanaf 7 maanden en het maakte niet uit of het snelstromend of rustig water was en als het water niet diep genoeg was om te zwemmen ging hij er op de buik in liggen om af te koelen.










Dekreuenlijst: Sybe kwam op de dekreuenlijst, hij haalde in 2015 op de clubmatch een derde prijs in de openklasse met een uitmuntend. In oktober waren alle testen gedaan en uitslagen binnen en werden we uitgenodigd voor de dekreuenparade op de fokkersdag. Omdat het allemaal erg kort dag was heb ik dat even voorbij laten gaan. Ik vond hem nog wat te onstuimig. Ik dacht dat we nog tijd genoeg hadden, hij was net 2 jaar oud.




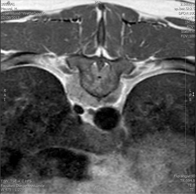
Het noodlot: Helaas sloeg in januari het noodlot toe. Hij was een week wat rustiger dan normaal maar ik dacht dat de hormonen begonnen op te spelen door een loopse hond in de buurt. Hij at ook slechter gedurende die week totdat ik er achter kwam dat hij pijn had en niet goed vanaf de grond kon eten. Dus op vrijdag naar de dierenarts, hij liep- en stond toen ook een beetje raar. De dierenarts dacht aan een blessure en schreef rust en pijnstilling voor. Sybe was zo gespierd dat het niet iets chronisch kon zijn. Gedurende het weekend ging Sybe steeds slechter lopen, hij zwalkte met zijn achterlijf heen en weer en zakte af en toe door een achterpoot. Nog 2 maal een dierenarts gezien dat weekend en op maandag weer terug naar onze eigen dierenarts. Die zorgde ervoor dat we in Utrecht met spoed bij Neurologie terecht konden voor een MRI scan. Sybe kon toen al helemaal niet meer lopen en had geen enkele controle over de achterpoten. Omdat er zowel een probleem in de nek als in de rug zat zou er van beide gebieden een scan gemaakt worden, die ieder 1½uur zouden duren. Iedereen dacht eigenlijk aan een hernia. Na 1uur kwam hij al weer terug van de MRI. De diagnose was niet best, een bottumor in een ruggenwervel, inoperabel met waarschijnlijk al uitzaaiingen in de buik. We konden hem gelijk laten inslapen, hij was toch nog onder narcose, zeiden ze. Op dat moment staat je wereld stil. Hoe kon dit waar zijn! Dit is het laatste wat je verwacht, zo’n prachtige jonge hond, pas 2 jaar en 5 maanden oud, waar je nog zoveel mooie plannen mee had. Die naar mijn idee nog net niet helemaal volwassen was maar zo goed op weg was een fantastische volwassen hond te worden. Op mijn vraag of dat vaker voorkwam en of er wat over bekend is bij dit ras, zeiden ze dat ze dit niet vaak zagen en zeker niet bij zulke jonge honden. Dit was pure pech.




We hebben Sybe natuurlijk niet daar gelaten maar mee naar huis genomen en ’s avonds is onze eigen dierenarts nog gekomen om hem in zijn eigen omgeving met iedereen erbij in te laten slapen. De volgende dag hebben we hem begraven in de tuin.
Daarna heb ik de film vaak teruggedraaid. Had ik iets gemist? Zo’n tumor groeit er niet in een week, je vraagt je af hoe lang hij daar al zat. Niets wat er op wees dat er wat mis was met hem. Behalve die laatste week heeft hij altijd gerend, gezwommen en gespeeld met andere honden. Hij was één bonk kracht en spieren en sprong een week daarvoor nog over het hek van 1 meter hoog. Zelfs in Utrecht liet hij nog een staaltje” Wetterkracht” zien door op zijn voorpoten en knieën nieuwsgierig door de behandelkamer rond te schuiven.
We hebben erg van hem genoten en er is veel van hem gehouden maar het heeft veel te kort geduurd.













